بیماری کین باخ چیست؟ :بیماری کین باخ (KIENBOCK’S DISEASE) به علت اختلال در خونرسانی دچار تغییراتی میشود که به آن نکروز آواسکولار یا سیاه شدن استخوان هلالی (LUNATE) میگویند. استخوان یک بافت زنده است و مانند هر بافت دیگری نیاز به تغذیه از راه خون دارد. اگر خونرسانی به استخوان قطع شود، میمیرد که به آن استئونکروز Osteonecrosis می گویند.
علت بیماری کین باخ:
علت اختلال در جریان خونرسانی به صورت دقیق مشخص نمیباشد ولی این عارضه به صورت شایعتر در کسانی دیده میشود که با دستانشان کارهای سنگین و زوردار انجام میدهند. لذا این احتمال مطرح میباشد که صدمات مکرر ناشی از کار در ایجاد اختلال در خونرسانی به نحوی مؤثر است. استخوان هلالی در ردیف اول استخوانهای مچ دست بوده و با استخوان رادیوس یا زند زبرین مفصل میشود.
بیماری کین باخ به علت اختلال در خونرسانی دچار تغییراتی میشود
علائم بیماری کین باخ
علائم عمده این بیماری عبارتست از :
• درد و تورم مچ دست
• محدودیت حرکت مچ دست
• کاهش قدرت مشت کردن
• احساس درد در فشار مستقیم به روی استخوان
• درد در حین چرخش مچ دست
تشخیص بیماری کین باخ
این بیماری مانند هر بیماری دیگر در ابتدا خفیف بوده و بتدریج شدیدتر می شود. سیر پیشرفت بیماری را به چهار مرحله تقسیم می کنند.
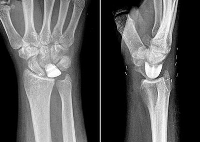
- در مرحله اول: مفصل دردناک است ولی در رادیوگرافی ساده نکته غیر طبیعی خاصی دیده نمی شود. بسیاری از این بیماران را به اشتباه پیچ خوردگی یا رگ به رگ شدن تشخیص میدهند. در این مرحله اگر از بیمار ام آر آی به عمل آید به تشخیص کمک می کند.
- در مرحله دوم: در رادیوگرافی ساده رنگ استخوان لونیت سفیدتر دیده می شود. درد و محدودیت حرکت بیمار در این مرحله شدیدتر می شود.
- در مرحله سوم: استخوان مرده بتدریج تغییر شکل می دهد. روی خودش خرد شده و کوچکتر می شود. علائم بیمار در این مرحله شدیدتر است.
- در مرحله چهارم: تغییرات سائیدگی مفصلی در استخوان های اطراف لونیت هم ایجاد میشود.
درمان بیماری کین باخ عمل جراحی است
درمان بیماری کین باخ (KIENBOCK’S DISEASE)
درمان این بیماری عمل جراحی است. گرچه اخیراً گزارشهایی از درمان غیر جراحی این عارضه بهصورت بیحرکتی و گچگیری مطرح شده است ولی طولانی بودن مدت بیحرکتی مورد نیاز به مدت چهار تا پنج ماه و عدم اطمینان از پاسخ دهی این روش درمانی پس از مدت طولانی بیحرکتی، عمل جراحی را به عنوان روش درمانی مؤثر و مطمئنتر در ردیف اول اقدامات درمانی قویاً مطرح میسازد. درمان هر چه در مراحل ابتدایی تر بیماری شروع شود نتیجه آن بهمراتب بهتر و مؤثرتر خواهد بود.
درمان بیماری کین باخ با عمل جراحی
روش جراحی معمول در بیماری کین باخ
در این بیماری بهصورت شایعی مشاهده شده است استخوان زند زبرین نسبت به استخوان مجاور طول بیشتری داشته و بلندتر است. از آنجا که استخوان هلالی در مچ دست در مجاورت استخوان زند زبرین قرار داشته و با آن مفصل میشود.
این فرضیه مطرح میباشد که طول بیشتر استخوان زند زبرین، استخوان هلالی را تحت فشار قرار داده و جریان خون آن را در معرض خطر قرار میدهد لذا عمل جراحی که به طور معمول برای این عارضه توصیف شده است بر این نظریه استوار است.
در این روش طی عمل جراحی استخوان زند زبرین را به اندازه چند میلیمتر کوتاه میکنند تا در مچ دست فشار از روی استخوان هلالی برداشته شود. این عمل جراحی در نیمه تحتانی ساعد انجام شود، استخوان زند زبرین بریده شده و به اندازه چند میلیمتر کوتاه میشود و سپس با پیچ و پلاک فیکس میگردد. اندام فوقانی مبتلا پس از عمل جراحی به مدت دو تا سه ماه گچگیری میشود.
در موارد پیشرفته بیماری که منجر به تخریب کامل استخوان هلالی شده باشد و در مچ دست تغییرات آرتروز و ساییدگی پدید آمده باشد این روش جراحی ممکن است دیگر کاربرد نداشته باشد. در این موارد از روشهایی دیگری جراحی بهره گرفته میشود.
علائم بیماری کین باخ
عوارض عمل جراحی کوتاه کردن استخوان زند زبرین
از عوارض محتمل به دنبال این جراحی جوش نخوردن استخوان زند زبرین میباشد. رعایت نکاتی طی جراحی و پس از آن در سیر درمان از احتمال چنین عارضهای میکاهد. هرچه اقدام به درمان جراحی در مراحل ابتدایی تر این بیماری صورت پذیرد، نتایج آن بهتر و مؤثرتر خواهد بود.
در بسیاری از مواردی که از این روش درمان استفاده شده است پس از طی مراحل درمان درد بیمار بهصورت قابل توجهی کاهش پیدا کرده و احساس بهبود حاصل میشود.
گردآوری: بخش سلامت بیتوته
منابع:tagdoni.com
drreyhani.ir



